fbpx

Tel: (21) 2236-5023

Tel: (21) 99464-3368 whatsapp

Sexta, 06 Outubro 2017 12:00

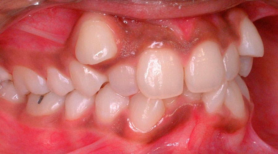
Apinhamento: O que é?

Avalie este item
(1 Votar)

A principal causa do apinhamento é a falta de espaço, seja pela base óssea diminuída ou por um pequeno aumento de volume dentário, que às vezes passa despercebido.

 

O Apinhamento Dental é o problema mais comum na ortodontia e também o que mais motiva o paciente a procurar tratamento, já que na maioria dos casos interfere negativamente na estética do sorriso.

Os dentes tortos ou "dentes encavalados" podem ter diversas causas, sendo que o tratamento adequado para corrigir ou alinhar os dentes pode diferir de acordo com essas mesmas causas, a idade, condicionantes estéticas e severidade do problema.

Causas do Apinhamento
As causas para dentes tortos ou apinhados, numa primeira abordagem, tendem a ter características genéticas e hereditárias. Essa informação genética determina o tamanho dos dentes e dos maxilares, que sendo hereditária, e caso não seja homogénea, poderá implicar uma desproporcionalidade entre o tamanho dos dentes e o tamanho dos maxilares.

Também existem casos em que por causa do dente do siso, quando não existe espaço suficiente para a sua erupção, se começa a verificar um ligeiro apinhar dos dentes da frente, porventura associado a essa “pressão de erupção” exercida nos outros molares, e por sequência a sua repercussão até à zona anterior. Esta situação tende a verificar-se com maior frequência na mandíbula, ficando os dentes inferiores tortos.

Outras causas que ocorrem com menor frequência, mas que também podem entortar os dentes, prendem-se com situações de traumatismo (pancadas e quedas), e também quando por dificuldade em respirar pelo nariz se recorre com frequência à respiração pela boca. No caso da criança, como ainda tem os seus maxilares em crescimento, esse comportamento pode afetar o modo como a mandíbula cresce, criando desarmonias no tamanho da mesma.

Tratamento
O tratamento para esse problema passa primeiramente pelo uso do aparelho ortodôntico, estes se dividem em dois:
- Aparelhos fixos - Os aparelhos dentários fixos, geralmente, são apenas considerados para correção nos adolescentes e adultos.
- Aparelhos removíveis (ou móveis) - Os aparelhos dentários móveis ou removíveis, geralmente, são indicados apenas nas crianças (aparelho ortodôntico infantil).

É importante ressaltar que este tipo de problema não prejudica somente a estética do paciente. Uma arcada dentária com apinhamento torna-se muito mais difícil de higienizar, predispondo o aparecimento de inflamações gengivais e problemas periodontais.

Agora que já conhece mais a respeito deste problema, faça-nos uma visita para avaliar qual o melhor tratamento para você.

Ler 16649 vezes

Matérias e Artigos

Gostou Curta!